Todos Nuestros Servicios - Medicina Nuclear
Las técnicas de imagen han tenido un desarrollo espectacular en los últimos años y cada vez juegan un papel más relevante en el proceso diagnóstico y terapéutico de los pacientes. El número de exploraciones realizadas es cada vez más elevado.
GAMMAGRAFÍA DE INERVACIÓN ADRENÉRGICA CARDÍACA
Detección de enfermedades cardíacas y diagnóstico precoz de enfermedades neurológicas.
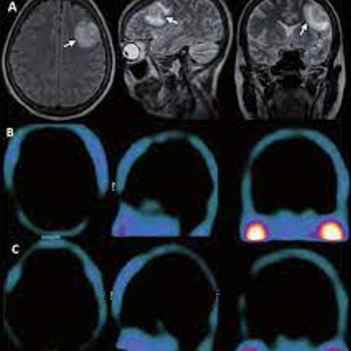
GAMMAGRAFÍA CEREBRAL CON MIBI
Identificación de lesiones tumorales o metastásicas en tejido cerebral.
GAMMAGRAFÍA CON FÁRMACO INFECTODEPENDIENTE
Contamos con varios radiofármacos con afinidad por procesos sépticos.
GAMMAGRAFÍA DE GLÁNDULAS SALIVARES
Valoración de síndrome seco, xerostomía o síndrome de Sjögren (boca seca).
GAMMAGRAFÍA DE MÉDULA ÓSEA
Valoración de enfermedades hematológicas con infiltración medular, valoración de médula ósea postquimiterapia
GAMMAGRAFÍA DE MÉDULA Y CORTEZA SUPRARRENAL
Valoración de lesiones o nódulos funcionantes (feocromocitomas o neuroblastoma, entre otros).
GAMMAGRAFÍA DE RECEPTORES DE LA SOMATOSTATINA, OCTREOSCAN
Estudio y extensión de tumores con receptores para la somatostatina.
GAMMAGRAFÍA DE PARATIROIDES
Diagnóstico de adenoma o hiperplasia paratiroidea.
GAMMAGRAFÍA DE TIROIDES
Diagnósticode hipertiroidismo, hipotiroidismo y de nódulos tiroideos así como caracterización de los mismos.
GAMMAGRAFÍA ESPLÉNICA
Valoración de restos esplénicos o actividad del bazo.
GAMMAGRAFÍA HEPÁTICA.
Detección de hemangiomas hepáticos.
GAMMAGRAFÍA ÓSEA
Para el diagnóstico de enfermedades reumatológicas, movilización de prótesis, fracturas y enfermedad metastásica entre otras.
GAMMAGRAFÍA PARA LA DETECCIÓN DE MUCOSA GÁSTRICA ECTÓPICA O DIVERTÍCULO DE MECKEL
Requiere ayunas de al menos 4 horas así como administración de algunos fármacos ( protectores gástricos tipo omeprazol o similares).
GAMMAGRAFÍA PULMONAR
Diagnóstico de tromboembolismo pulmonar (TEP) y secuelas del mismo.
GAMMAGRAFÍA RENAL
Valoración de cicatrices, malformaciones renales, riñón ectópico y función renal.
LINFOGAMMAGRAFÍA
Estudio del sistema linfático y edema de miembros superiores e inferiores.
DATSCAN
Valoración de enfermedad de Parkinsony otras alteraciones neurodegenerativas.
DENSITOMETRÍA ÓSEA
Diagnóstico de la osteoporosis y osteopenia.
ESTUDIO ISOTÓPICO DE HEMORRAGIAS O SANGRADO DIGESTIVO
ESTUDIO ISOTÓPICO DE HEMORRAGIAS O SANGRADO DIGESTIVO
RASTREO CON MIBI
Valoración de adenomas funcionantes extracervicales o localización de actividad tumoral entre otras.
GANGLIO CENTINELA
Localización del ganglio centinela en el cáncer de mama y melanoma, entre otros.
RENOGRAMA BASAL O DIURÉTICO
Valoración de función renal , posibles obstrucciones o evaluación renal previa a una cirugía o trasplante.
SPECT CEREBRAL DE PERFUSIÓN
Diagnóstico de enfermedad de Alhzeimer, Afectación Vascular o Atrofia Cortical entre otras.
SPECT DE PERFUSIÓN MIOCÁRDICA
Detección de isquemia e infarto de miocardio.
TEST DE CAPTOPRIL
Valoración de hipertensión (HTA) de causa vasculorrenal.
TRÁNSITO ESOFÁGICO
Valoración de alteraciones primarias de la motilidad esofágica.
TRATAMIENTO DEL HIPERTIROIDISMO CON I-131
Tratamiento del hipertiroidismo causado por un bocio difuso, Enfermedad de Graves Basedow o nódulos tiroideos.
VACIAMIENTO GÁSTRICO
Diagnóstico de alteraciones en el vaciamiento gástrico y dismotilidades gástricas secundarias.
VENTRICULOGRAFÍA ISOTÓPICA (FEVI)
Valoración de la función ventricular en pacientes con tratamiento con quimioterapia o con patología cardíaca.





























