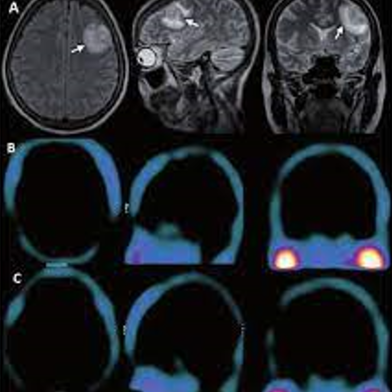
Valoración de adenomas funcionantes extracervicales o localización de actividad tumoral entre otras.
La duración de la prueba y el protocolo a seguir variará en función de la patología a estudiar.
Nuestro personal cualificado le informará de forma individualizada de todo el proceso.
Rastreo con MIBI
¿Tiene alguna pregunta? ¡Llámanos!
Preguntas y respuestas
¿Cómo se realiza una gammagrafía ósea?
Una gammagrafía ósea implica inyectar una cantidad muy pequeña de material radiactivo (marcador) dentro de una vena. La sustancia viaja a través de la sangre hasta los huesos y órganos. A medida que esta va desapareciendo, emite un poco de radiación. Esta es detectada por una cámara que lentamente escanea el cuerpo.
¿Cuánto tiempo se tarda en hacer una gammagrafía ósea?
Toma imágenes del marcador que hay en sus huesos. El técnico puede solicitarle que cambie de posición durante el procedimiento. Esto ayuda a obtener imágenes desde diferentes ángulos. Una gammagrafía ósea de todo el cuerpo tarda aproximadamente 1 hora en completarse.
¿Que detecta la cámara gamma?
La cámara gamma detecta las emisiones de energía de la radiosonda en su cuerpo y las convierte en una imágen. La cámara gamma de por sí no emite ninguna radiación. Tiene detectores de radiación denominados cabezas de cámara gamma.
¿Tienes alguna consulta? Rellena el formulario
Si deseas que nos pongamos en contacto contigo para consultar cualquier información sobre nuestros servicios, por favor rellene el siguiente formulario.







